

Microarrays tissulaires personnalisés (TMA)
Des TMA conçus pour répondre à vos besoins en matière de recherche
- Pathologistes sur place
- Dépôt de tissus
- Services de laboratoire
-
Collaborez avec les pathologistes de Precision sur place pour construire votre TMA
Nos pathologistes certifiés ont des années d'expérience dans la sélection de tissus et la curation de TMA et peuvent vous aider à déterminer la disposition, l'indication et le type de tissu qui conviennent à votre étude.
Exemples d'agencements :
(Représente le nombre maximum de carottes)
- 0.6MM - 405 cœurs
- 1 MM - 190 cœurs
- 1.5 MM - 98 cœurs
- 2MM - 66 cœurs
- 3MM - 36 cœurs
- 4MM - 15 cœurs
- 0.6MM - 405 cores
- 1 MM - 190 cores
- 1.5 MM - 98 cores
- 2MM - 66 cores
- 3MM - 36 cores
- 4MM - 15 cores
-
Accès à plus de 10 millions de tissus en stock
Precision vous donne accès à un large éventail d'indications à travers des tissus pathologiques et des contrôles sains prêts pour la construction de TMA.
Nos pathologistes identifieront et sélectionneront manuellement les cas pour les TMA en fonction de vos critères d'inclusion et d'exclusion.
-
Services de laboratoire internes pour une caractérisation plus poussée
Avec un dépôt de tissus et un laboratoire d'histopathologie complet sur place, la création de TMA n'est qu'un début. Precision peut également fournir des coupes de lames de TMA, des colorations H&E, des colorations IHC, des colorations de biomarqueurs personnalisés et d'autres services de pathologie personnalisés.
- Sectionnement des lames de TMA
- Coloration H&E
- Coloration IHC
- Coloration des biomarqueurs des clients
- Autres services de pathologie personnalisés
- TMA slide sectioning
- H&E staining
- IHC staining
- Custom client biomarker staining
- Other custom pathology services

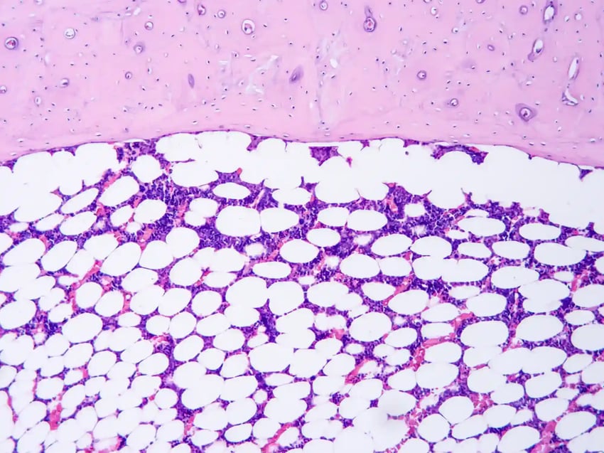
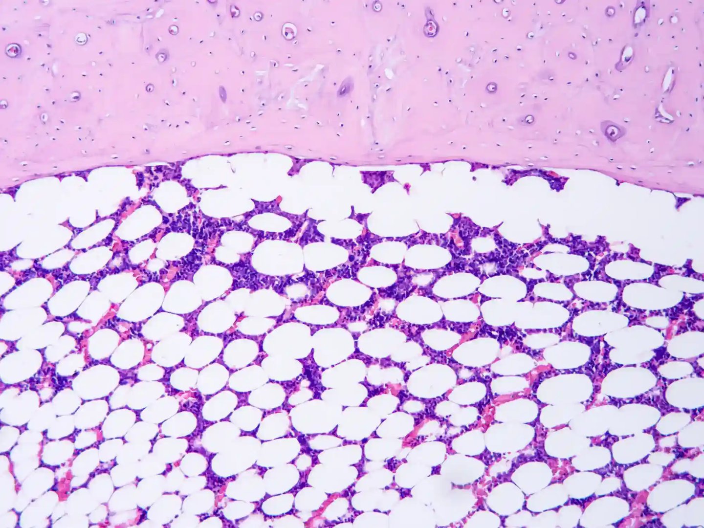
Des tissus de la plus haute qualité pour vos TMA
- Tissus néoplasiques, malades et normaux disponibles
- Tous les tissus proviennent de réseaux d'hôpitaux américains et de partenaires internationaux.
- Fabriqués dans nos installations certifiées ISO, CLIA et CAP

Caractérisation supplémentaire des échantillons de tissus
- Qualification du pathologiste, notation et localisation de la coloration IHC
- Données pathologiques enrichies : Diagnostic, sous-type histologique, grade, TNM et stade
En savoir plus sur nos Tissue Microarrays personnalisés
Personnalisez votre présentation et votre sélection de tissus tout en travaillant avec nos pathologistes sur place, axés sur la recherche.

Pathologie numérique pour les TMA
Precision for Medicine propose des solutions de pathologie numérique permettant de simplifier le transfert et la récupération d'images de tissus numériques pour une collaboration en temps réel entre nos pathologistes certifiés et les chercheurs de nos clients. Ces plateformes permettent également une plus grande flexibilité dans l'examen des échantillons et la collaboration, tout en accélérant les délais d'obtention des échantillons.

Créez votre TMA personnalisé
Caractérisez davantage vos microréseaux de tissus grâce aux services de laboratoire spécialisés de Precision.
-
Explorer
IHC
Des solutions IHC de bout en bout, comprenant le kitting, la logistique des échantillons, la coloration via toutes les principales plates-formes et les services de pathologie internes. -
Explorer
Services de pathologie
L'équipe de pathologie interne fournit des évaluations d'experts dans des délais rapides, ainsi que des services de traitement des échantillons, y compris FFPE et microdissection.